화장실 갈때 필수입니디
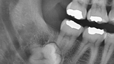
이 정도면 사랑니 발치 고난도라고 합니다. 문외한인 제가 봐도 왠지 움찔하게 되네요...;;
근데 왠지 가구말고 다른걸 팔거 같은
되팔렘들을 원천차단하기 위해 현장에서 러닝실력을 증명해야 응모 가능
쇼츠보는걸로 도파민 중독이니 뭐니 하는데 이 형보면 그건 도파민 중독도 아닙니다
이분은 이후 15 대 12 경기를 직관하셨다고 합니다..