자유게시판

치과의사도 기도하게 만드는 X-레이 짤

작성자 정보

  • Apro 작성
  • 작성일

컨텐츠 정보

상품명
치과의사도 기도하게 만드는 X-레이 짤
여행기간
출발지
교통편
상품가격
성인  원 /  아동  원

본문

uploaded_680347b6e51c1.jpg

uploaded_680347b861e78.jpg

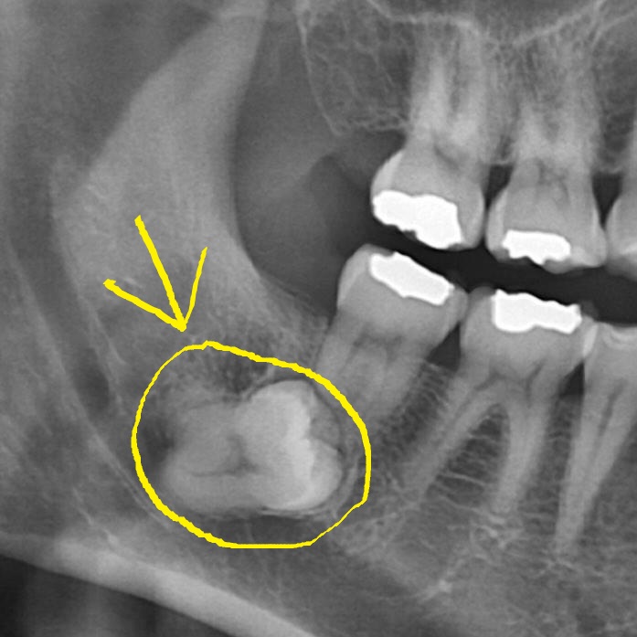
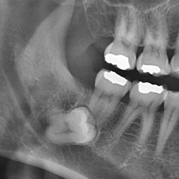
이 정도면 사랑니 발치 고난도라고 합니다. 문외한인 제가 봐도 왠지 움찔하게 되네요...;;

관련자료

댓글 0
등록된 댓글이 없습니다.
알림 0